
中新網3月20日電 據臺灣《聯合報》報道,桃園縣一女子因受不了9個月大外甥女頻頻哭鬧,將兩根長達5厘米縫衣針刺進女娃左大腿,還拿蒼蠅拍猛打她背部造成瘀青,昨天被桃園法院判處8個月徒刑,緩刑3年,需到指定公益團體或小區提供60小時義務勞務。
判決書指出,該女子去年照顧年僅9個月大外甥女,因外甥女哭鬧不停,情緒失控下拿家中縫衣針兩根,連刺入女娃左大腿內側,完全沒入皮下組織。
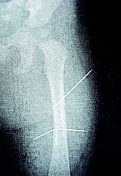
隔月27日,該女子又見外甥女哭鬧不停,拿蒼蠅拍朝著外甥女背部連打數十下,造成女娃背部瘀傷。經女娃母親發現后送醫救護,院方為女童進行X光片照射后,才發現女娃左大腿里竟有兩根縫衣針。
承審法官認定,該女子犯后坦承不諱并和被害人家屬和解,因此給予緩刑,并透過義務勞務加以輔導。

| 銆?a href="/common/footer/intro.shtml" target="_blank">鍏充簬鎴戜滑銆?銆? About us 銆? 銆?a href="/common/footer/contact.shtml" target="_blank">鑱旂郴鎴戜滑銆?銆?a target="_blank">騫垮憡鏈嶅姟銆?銆?a href="/common/footer/news-service.shtml" target="_blank">渚涚ǹ鏈嶅姟銆?/span>-銆?a href="/common/footer/law.shtml" target="_blank">娉曞緥澹版槑銆?銆?a target="_blank">鎷涜仒淇℃伅銆?銆?a href="/common/footer/sitemap.shtml" target="_blank">緗戠珯鍦板浘銆?銆?a target="_blank">鐣欒█鍙嶉銆?/td> |
|
鏈綉绔欐墍鍒婅澆淇℃伅錛屼笉浠h〃涓柊紺懼拰涓柊緗戣鐐廣?鍒婄敤鏈綉绔欑ǹ浠訛紝鍔$粡涔﹂潰鎺堟潈銆?/font> |